5 ساعات جراحية لاستئصال ورم معقد من رأس طفل بالهفوف
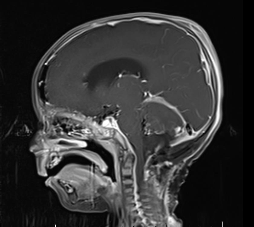
نجح فريق متخصص في جراحة المخ والأعصاب في محافظة الأحساء، في استئصال ورم كبير من رأس طفل، على شكل كتلة في منطقة المخيخ، وذلك في عملية جراحية استغرقت 5 ساعات.
وقالت ”صحة الأحساء“: إن أطباء مستشفى الملك فهد بالهفوف التابع لتجمع اللأحساء الصحي استقبلوا طفلًا حضر لقسم الطوارئ وهو يعاني من صعوبة التوازن في المشي، وقلة في النشاط، وتقيؤ مستمر.
وأضافت: على الفور تم إجراء الفحص السريري والمخبري وأشعة مقطعية للرأس، والرنين المغناطيسي الذي بين وجود ورم كبير على شكل كتلة في منطقة المخيخ وتسببت له بضغط شديد على المراكز الحيوية في جذع الدماغ وأيضًا استسقاء دماغي شديد.
وبيّن الفريق الطبي المعالج للحالة أنه تقرر على الفور إجراء تدخل جراحي نادر ومعقد، نظرًا لصعوبة مكان الورم، حيث تم استئصاله بشكل كامل دون أي أعرض أو مضاعفات على دماغ الطفل.
وأشار إلى نقل الطفل لغرفة العناية المشددة على جهاز التنفس الصناعي؛ لمتابعة حالته من قبل الأطباء ومختصي التمريض، وتقديم الخدمات العلاجية حتى استقرار الحالة، ليتم بعددها فصل جهاز التنفس الصناعي تدريجيًا، لحين قدرته على الحركة بشكل متمكن وخروجه من المستشفى.
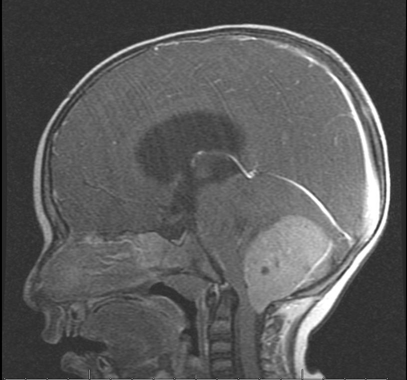
وأكد إجراء أشعة الرنين المغناطيسي لمنطقة الرأس مرة أخرى للتأكد من خلوه من أي بقايا لكتل ورمية، وبينت الأشعة سلامة المنطقة.













