القطيف.. تصحيح عيب خلقي لـ «خديج» بعمر 5 أيام
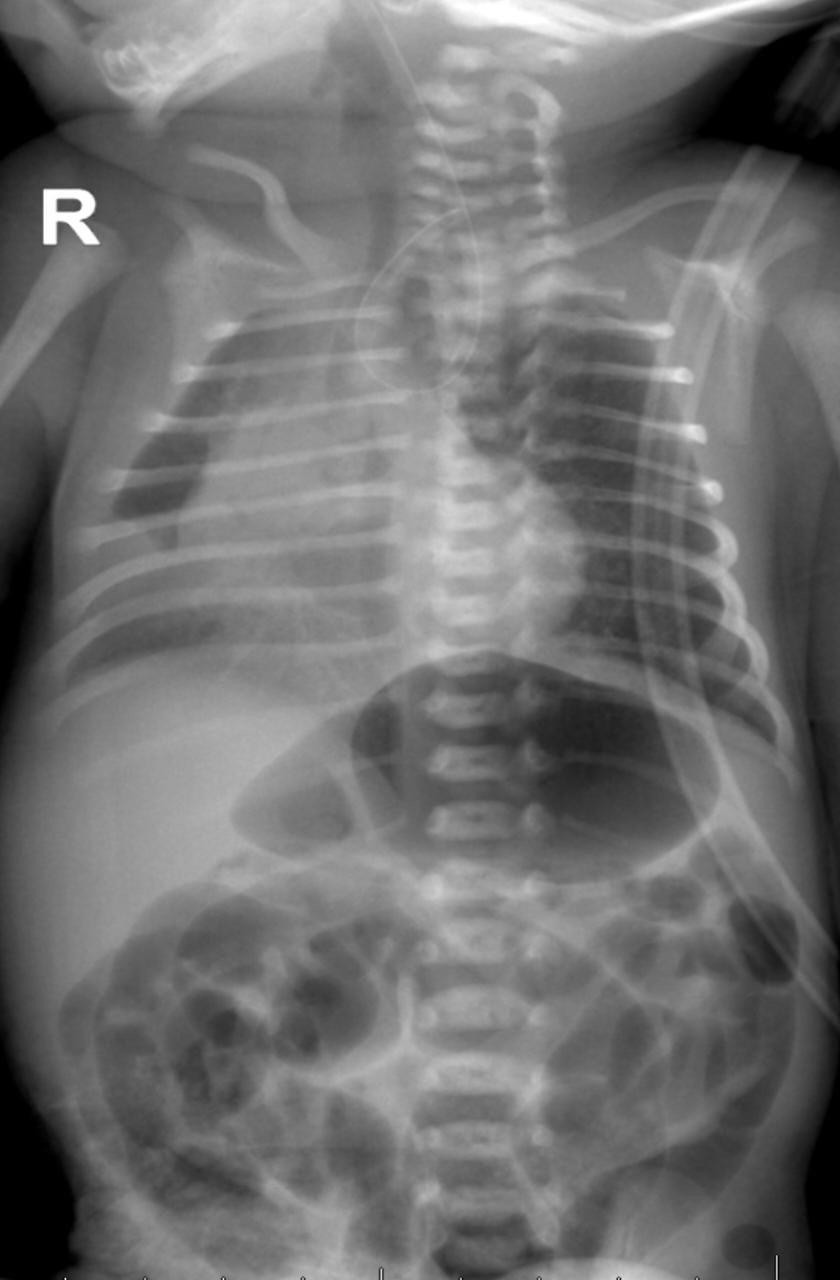
أجرى فريق طبي من أطباء جراحة أطفال واستشاريين التخدير وفنيين العمليات، عملية جراحية لمدة 3 ساعات، وذلك لتصحيح عيب خلقي في طفل حديث الولادة خديج بعمر خمسة أيام.
وأنجز الفريق الطبي رتق المريء مع ناسور رغامي مريئي تكللت بالنجاح والمريض بحالة جيدة، ويتلقى بقية الخطة العلاجية.












